New Patients are always welcome
Preliminary impression are taken with an algaenate impression material. This will be taken out and poured into a stone model.

A custom bite block is made for the upper and the lower arch to do the final impression. Border moulding is applied to allow us to get a precise and custom fit.

The Final Impression is made with an Elastomeric precision impression material. The facebow transfer allows us to transfer individual facial angles to our articulator (pic). With an arcus digma which is a computerized jaw tracking devise to allow for full range in motion of the upper and lower denture.

The Bennett Angle

The Candular Angle

The Lateral Side Shift

These 3 are all adjusted according to the calculations of the computer's assessment. The bite registration is made to determine the occlusal height (the biting distance) and the space and the relation between the upper and lower jaw.

The anterior are selected according to the individual shape of the head and gender. The shade of the teeth are discussed with the patient to their individual taste and preference. The size of the teeth will depend upon the size of your mouth and jaw, and how your upper and lower jaws come together when you bite down. If you liked the way your natural teeth looked, bring in a photograph of you smiling with your natural teeth.

Posterior teeth are selected according to the ridge and the bone loss in the jaw.

A customized wax set-up is made for a try-in before the final denture is finalized.

At this appointment we invite clients to bring friends and/or loved ones to get feedback on the esthetics of the dentures. At this point we are still able to change and adjust the denture to the clients specifications on how it looks. We will only finish the dentures when both client and ptractisioner are completely satisfied with the wax set up. Then the denture is processed and finished.
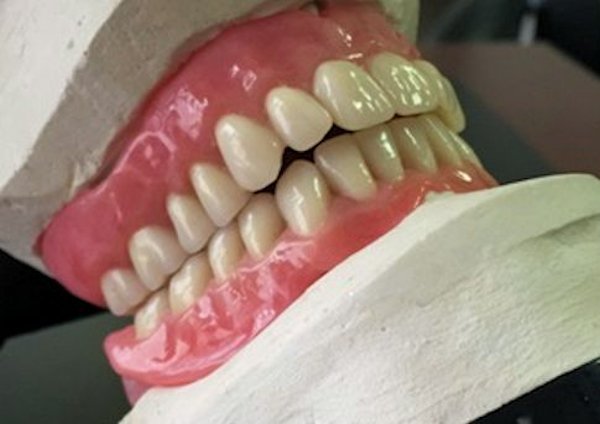
Completed Upper Denture.

Completed Lower Denture

At Enjoy Life Denture Centre your oral health is our number one priority.